:format(webp)/cmVnaW9ucy9wb3N0cy9tZWRpYS9jb3ZlcnMvMjAyNC8wMi8xWVlGOW9aS2lhMEY3dFhwZGFJSURIUHM5NWtnb0FLWjlFbzVodmo0LnBuZw.webp)
Каширские врачи поставили на ноги женщину после неудачного самолечения позвоночника
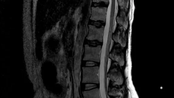
Пациентка была консультирована нейрохирургом МОНИКИ, и первоначально было принято решение о необходимости оперативного вмешательства, сообщили в пресс-службе Каширской больницы. Однако в ходе дополнительных обследований была выявлена анемия средней тяжести и эрозивный гастрит, усложнившиеся из-за неконтролируемого приема обезболивающих препаратов. Это вынудило врачей отложить операцию и пересмотреть план лечения.
Вместо операции пациентке была проведена паравертебральная анестезия поясничной области. Этот метод предполагает введение анестетика в область вокруг позвонков, что приводит к временному блокированию передачи нервных импульсов от позвоночника к мозгу, и значительно снижает болевой синдром. Такая процедура позволила пациентке вновь обрести возможность ходить, после она была переведена в терапевтическое отделение для дальнейшего лечения и восстановления.
Ранее губернатор Московской области Андрей Воробьев заявил, что модернизация первичного звена здравоохранения является одним из приоритетных направлений.
:format(webp)/YXJ0aWNsZXMvaW1hZ2UvMjAyNi8yL3ByZWZhYi5qcGc.webp)
:format(webp)/YXJ0aWNsZXMvaW1hZ2UvMjAyNi8zL2ltZy0yMDI2MDMwMi0xNDE5MjYtOTM5LmpwZw.webp)
:format(webp)/YXJ0aWNsZXMvaW1hZ2UvMjAyNi8yL3Bob3RvLTIwMjYtMDItMjUtMjMtMDItNDIuanBn.webp)
:format(webp)/YXJ0aWNsZXMvaW1hZ2UvMjAyNi8yL2ltZy0wNDgzLWtvcGlqYS5qcGc.webp)