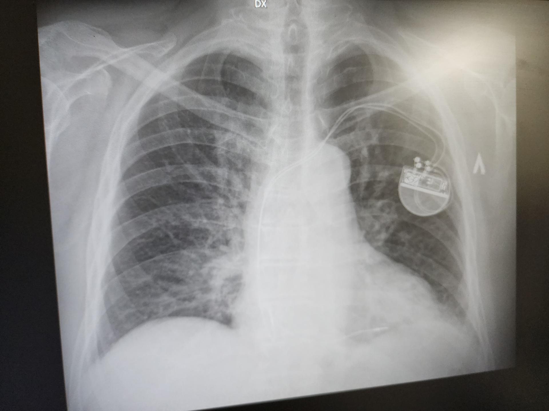
В Солнечногорской больнице пациентам сделали 6,5 тыс. точных снимков на новом рентгене
Рентгенаппарат «ДУОГРАФ» помогает врачам Подмосковья делать точные снимкиВ Солнечногорской больнице подвели итоги работы цифрового рентгенаппарата «ДУОГРАФ», который поступил в стационар в марте текущего года в рамках национальной программы модернизации первичного звена здравоохранения. За семь месяцев эксплуатации специалисты провели более 4500 исследований и сделали 6500 снимков для диагностики пациентов.
Современное оборудование позволяет врачам получать снимки высокого качества без использования пленки — изображения сразу выводятся на экран. Медицинский персонал может изменять масштаб, настраивать контрастность и детализацию снимков, что повышает точность диагностики и избавляет пациентов от повторного облучения.
Новый аппарат — единственный с подобными возможностями в округе. Его внедрение позволило существенно сократить очереди: пациенты проходят рентген-диагностику практически сразу после назначения врача.
Ранее сообщалось, что более 83 тыс. взрослых и детей привились от гриппа в Солнечногорске.
:format(webp)/YXJ0aWNsZXMvaW1hZ2UvMjAyNi8zL3R1cml6bTMuanBn.webp)
:focal(0.51:0.36):format(webp)/YXJ0aWNsZXMvaW1hZ2UvMjAyNi8zLzItMHpmbHVsYS5wbmc.webp)
:format(webp)/YXJ0aWNsZXMvaW1hZ2UvMjAyNi8zL3BsOGV0c3RqMTZlNjMxZjgtMjI2ZS00N2I3LWFiMzUtMDcwMzFhMDg5NjlkXzJTVDE3czIud2VicA.webp)
:format(webp)/YXJ0aWNsZXMvaW1hZ2UvMjAyNi8zL3Bob3RvLTIwMjYtMDMtMTItMTEtMjItNDUuanBn.webp)
:format(webp)/YXJ0aWNsZXMvaW1hZ2UvMjAyNi8zL3Bob3RvLTIwMjYtMDMtMTYtMTUtNTMtNTYuanBn.webp)
:format(webp)/YXJ0aWNsZXMvaW1hZ2UvMjAyNi8zL3Bob3RvLTIwMjYtMDMtMTYtMTUtNTMtNTctMi5qcGc.webp)
:format(webp)/YXJ0aWNsZXMvaW1hZ2UvMjAyNi8zL3Bob3RvLTIwMjYtMDMtMTctMTEtMjYtMjYuanBn.webp)
:format(webp)/YXJ0aWNsZXMvaW1hZ2UvMjAyNi8zL3Bob3RvLTIwMjYtMDMtMTYtMTgtMTEtMzkuanBn.webp)
:format(webp)/YXJ0aWNsZXMvaW1hZ2UvMjAyNi8zL3Bob3RvLTIwMjYtMDMtMTYtMTgtMTEtNDEuanBn.webp)